【Proteintech】新品 Anti-IgG VHH Beads 上架!
Protein A/G的優秀替代品!
【Chromotek】專為精準鎖定 純淨免疫沉澱結果 優化而來!

雖然Protein A和Protein G仍然是免疫沉澱(Immunoprecipitation, IP)實驗中抗體捕獲的最常見選擇,但它們廣泛且非特異性的Fc結合以及從Beads中析出的可能性,可能會影響特異性,並在靈敏的檢測中產生干擾背景訊號。
Proteintech的 Anti-IgG VHH Beads 經過優化,可實現精準捕獲目標、獲得純淨結果數據,並重新定義IP免疫沉澱的特異性和純度!
Anti-IgG VHH Beads 四大特點
✔ 極低背景訊號
✔ 無 Protein A/G 污染
✔ 卓越的物種特異性,無不必要的交叉反應
✔ 可靠、可重複且乾淨的結果數據
Anti-Rabbit / Anti-Mouse VHH Beads
結合了三種高親和力VHH,分別針對rabbit IgG, mouse IgG1 和 mouse kappa light chains。
這個組合確保了與最常用的兔子和小鼠抗體的廣泛兼容性。
無論您是針對各種抗體亞型進行常規免疫沉澱 (IP),還是研究未知亞型的抗體,這些Beads都能提供強大可靠的 Protein A 或 Protein G 替代方案,實現性能穩定地乾淨、高效捕獲(Pulldown)目標。
| Target | Formats | Available Size | Specificity | |
| Rabbit/Mouse | Agarose | Magnetic agarose | 1ml, 2ml, 5ml | Rabbit IgG, Mouse IgG1, 2a*, 2b*, 3*, *kappa light chain |
Species specific VHH Beads
僅對一種 IgG 亞型具有傑出的特異性,讓您在了解所研究抗體亞型的情況下,能夠以最高的效率進行精確的捕獲(Pulldown)目標。
如果您經常使用同一種抗體或同一種亞型的抗體進行免疫沉澱 (IP),那麼此解決方案是您的最佳選擇!
| Target | Formats | Available Size | Specificity | |
| Rabbit | Agarose | Magnetic agarose | 1ml, 2ml, 5ml | Rabbit IgG |
| Mouse IgG1 | Agarose | Magnetic agarose | 1ml, 2ml, 5ml | Mouse IgG1 |
| Mouse IgG2a | Agarose | Magnetic agarose | 1ml, 2ml, 5ml | Mouse IgG2a |
| Mouse IgG2b | Agarose | Magnetic agarose | 1ml, 2ml, 5ml | Mouse IgG2b |
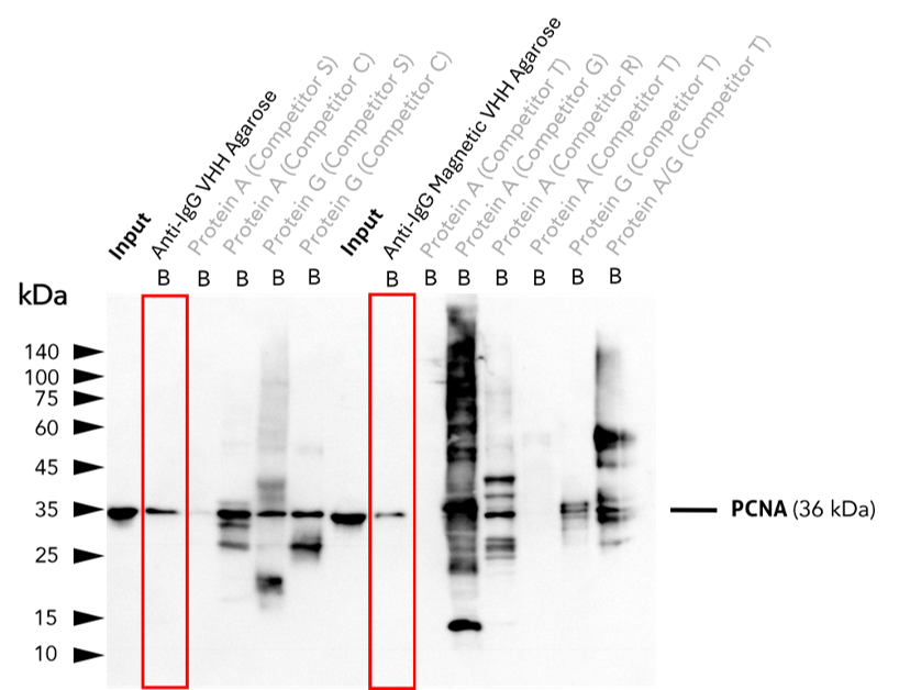
Anti-IgG VHH Beads v.s. Protein A/G 測試比較數據:


可搭配產品:
Proteintech Primary antibodies
可針對您的需求挑選對應的 Proteintech IP / WB 抗體!
HRP-Goat Anti-Rabbit IgG Conformation Specific Recombinant Secondary Antibody (Cat no: RGAR301)
本產品特異性辨識天然兔IgG分子,但與完全還原的兔IgG片段(包括重鏈和輕鏈)無交叉反應。
此特性使其成為免疫共沉澱-蛋白印跡(IP-WB)檢測的理想工具,因為IP過程中使用的一抗在樣品製備時會被還原成片段,
在後續的 Western blot檢測 中,一抗片段可被常規二抗識別(重鏈約55 kDa,輕鏈則約25 kDa),
而使用此二抗識別時,還原片段則不會被檢測到。
當目標蛋白分子量接近55 kDa或25 kDa時尤其重要,使用本二抗可以避免由內源性訊號所帶來的誤判。
資料來源:Proteintech
相關資訊:
Proteintech 官網連結:Anti-IgG VHH Beads for Immunoprecipitation
Proteintech 官網連結:Primary Antibodies
Proteintech 官網連結:HRP-Goat Anti-Rabbit IgG Conformation Specific Recombinant Secondary Antibody

這期倍思特小編分享的內容是不是覺得收穫滿滿呢~
感謝大家的關注和支持
下期見~
如果您有任何問題,或者還想了解更多信息,
歡迎聯繫 ABreal 倍思特 業務團隊 及 加入 ABreal 倍思特 官方line @abreal,我們將提供您最好的服務!






