【Proteintech】免疫組織化學染色法 (IHC) 技術探討與問題解析

免疫組織化學 (Immunohistochemistry, IHC) 染色實驗透過抗體與目標抗原的結合,在組織切片上準確定位並呈現可視化效果,以精確觀察目標蛋白質在組織中的位置和分佈情況,進行健康組織和患病組織的比較研究。總而言之,IHC 在臨床醫學、基礎研究和病理學領域扮演重要角色,協助科學家進一步研究和理解蛋白質表達情況及相關疾病的機制。
加入ABreal LINE@ 好友 留言索取最新版 IHC 手冊

【倍思特線上研討會】IHC 染色技術探討
我們拆解 IHC 實驗流程,並提供每個過程可能遇到的注意事項,以幫助實驗的優化,主旨包含:
✐ IHC 實驗流程的深入解析
✐ Proteintech 優化 IHC 實驗的提示和技巧分享
✐ 探討 IHC 實驗中的常見問題及解決方案
【點選觀看線上同步 LIVE 直播】(連結: https://www.youtube.com/watch?v=74m3myTVqzs)

線上研討會中討論熱度高的 FAQ
- 組織與玻片無法完全貼合/ IHC 過程容易掉片
請參考 Proteintech IHC Protocol ( for FFPE Sample) 玻片製備步驟

由於脂肪組織或固定不好之組織很容易在染色操作過程中脫落,所以需要使用具有良好黏著性的玻片。
優化建議:
在玻片上塗抹一層多聚賴氨酸(poly-L-Lysine,一種帶正電的分子)以產生很強的靜電引力,可使組織附著於玻片上較不易脫落。
附註: poly-L-lysine 玻片可於實驗室中自行製作,方法是先將玻片置於 70% 酒精中,再於空氣中乾燥;接著將玻片與 poly-L-lysine 作用 10 分鐘,再於 55℃ 烘箱中 烤 30 分鐘以上,使其乾燥。
- 烤片
請參考 Proteintech IHC Protocol ( for FFPE Sample) 玻片製備步驟

切片乾燥時間不足、烘箱溫度過低,或者是二甲苯(xylene)和L-檸檬烯(L-limonene)中摻雜了水分;或玻片中有水泡、試劑使用次數過多等因素,都會造成脫蠟(deparaffinisation)不完全。殘餘的蠟會讓IHC染色的非特異性背景升高,造成斑片狀(patchy)或帶狀染色結果;而壞死組織的背景染色也會過強,造成非預期的染色型態。
附註: 若烘箱的溫度過高、石蠟加熱過度則可能會破壞組織的抗原性;而脫水不良則會造成染色狀況不均勻。
- 抗原修復 (Antigen Retrieval)
請參考Proteintech IHC Protocol ( for FFPE Sample) 抗原修復 (Antigen Retrieval) 步驟

甲醛 (Formaldehyde) 的化學特性,能使不帶電荷的氨基酸間以亞甲基橋 Methylene bridge (-CH2-) 別稱甲基化的方式形成交聯 (Cross-links),導致 Peptides 及抗原決定位 (epitopes) 的抗原性降低,限制抗原-抗體相互作用。
抗原修復 (Antigen Retrieval) 原理為利用化學試劑以破壞蛋白質交聯 (-CH2-),使被遮蔽的抗原決定位重新暴露出來,恢復抗原與抗體結合能力。
常見方法:
熱誘導抗原修復法 (Heat-induced epitope retrieval, HIER)
(適合 90% 以上的目標蛋白為最常被使用的方法 但過程會有掉片的潛在可能)
使用高溫(例如:高壓蒸氣、微波、水浴加熱)搭配特定緩衝液進行抗原修復。常見pH 9.0 Tris-EDTA 緩衝液和 pH 6.0 檸檬酸緩衝液 (citrate buffer)
取決於目標蛋白質所需的 pH 值,也可以直接參照一級抗體的說明書來進行挑選。
酵素/蛋白水解誘導抗原修復法 (Proteolytic-induced epitope retrieval, PIER)
(適合易掉片或厚度較薄的檢體)
使用蛋白酶 (proteases) 進行抗原修復,常用蛋白酶 K (proteinase K)、胰蛋白酶 (trypsin) 和胃蛋白酶 (pepsin) 等。
操作時,酵素濃度、反應時間和作用溫度均需依據樣本狀態和實驗需求進行測試和優化。
Proteintech Antigen Retrieval Buffer

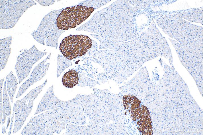
IHC analysis of mouse pancreas tissue with Proteintech’s Synaptophysin rabbit polyclonal antibody (17785-1-AP). Heat-induced epitope retrieval was performed using Tris-EDTA Antigen Retrieval Buffer (PR30002).

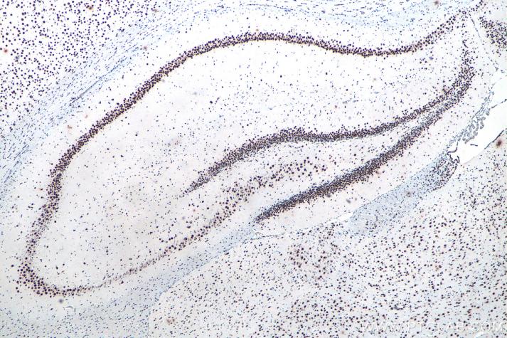
IHC analysis of rat brain tissue with Proteintech’s TDP-43 rabbit recombinant antibody (80001-1-RR). Heat-induced epitope retrieval was performed using Sodium Citrate Antigen Retrieval Buffer (PR30001).

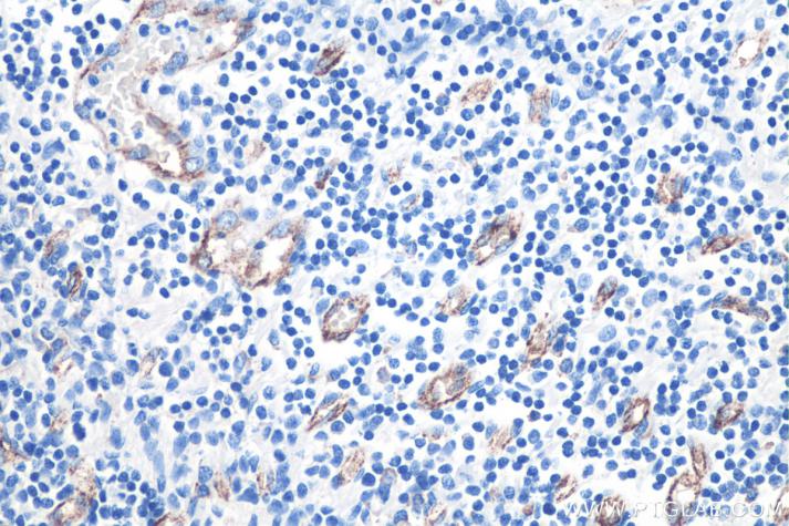
IHC analysis of human tonsilltis tissue with Proteintech’s VWF rabbit polyclonal antibody (27186-1-AP). Protease-induced epitope retrieval was performed by incubating at 37°C for 5 minutes in Protease K Antigen Retrieval Buffer (PR30014).
附註: 切片放置太久,也會損失抗原性。因此切片完成後應儘量在二週內使用。若無法於二星期內染色,可將切片置於防潮箱,但不建議擱置超過四至六週。
- 最佳的抗體濃度與呈色
一抗的最佳條件因實驗和組織類型而異,以下是有關如何在 IHC 中優化一抗的建議:
依據廠商測試數據嘗試不同的抗體稀釋度 或者 1:50 或 1:300 的稀釋度也是優化的良好起點。
附註: 確保溫度和作用時間相同


有特定的染色,但背景信號較高:
請嘗試改變一抗作用時間和溫度,建議嘗試在室溫下進行較短的作用時間。
抗體具有高濃度的高親和力抗體:
請嘗試縮短作用時間。
抗體在低濃度下具有高親和力:
請嘗試增加孵育時間並降低孵育溫度。
- 在進行免疫組織化學(IHC)實驗時,優化起點
不要讓可能需要優化的 IHC 方案的複雜性和多方面性讓您感到困惑。
以下是在 IHC 實驗的早期階段應首先考慮優化的重要步驟:

- 石蠟切片的抗原修復:組織經過固定和包埋後,可能會影響抗原與抗體結合力。找到適合的抗原修復方法,來提高一抗的特異性結合。
- 封閉:使用封閉液可以封鎖非特異性結合位點,減少背景染色,提高染色信號的特異性。
- 一抗稀釋:適當的一抗稀釋是確保 IHC 實驗成功的重要步驟。過高或過低的一抗稀釋都可能導致假陽性或假陰性結果。
Proteintech 在技術諮詢中收到許多與 IHC 實驗技術相關的困難,因此開發了高專異性、高兼容性和高便利性的 IHC 試劑盒。


使用Proteintech IHC kit 能夠使研究過程更加順暢和高效,無需繁瑣的試劑準備,即可獲得準確的數據,同時節省寶貴的時間和樣本,讓研究者能夠更專注於科學研究的核心內容。
更多詳細內容 請觀看【倍思特線上研討會】IHC 染色技術探討
【點選觀看線上同步 LIVE 直播】(連結: https://www.youtube.com/watch?v=74m3myTVqzs)

相關資訊:
- 【ABreal】IHC Reagent Kits and Supporting Products
- 【Proteintech】IHCeasy Kits
Get your IHC right the first time
- 【Proteintech】IHC Reagent Kits and IHCeasy Ready-to-use IHC Kits
- 【Proteintech】IHC Prep & Detect Kits
Contains all the basic reagents that you would need for developing your own IHC workflow.
- 【Proteintech】IHC Detect Kits
Enables highly sensitive target detection utilizing polymer HRP secondary antibodies
- 【Proteintech】Antigen Retrieval Buffers
Buffers for heat-induced and protease-induced antigen retrieval.

這期倍思特小編分享的內容是不是覺得收穫滿滿呢~
感謝大家的關注和支持
下期見~
歡迎洽詢業務專員或加入倍思特 Line@: @abreal






